
Transforme Seu Sorriso em Apenas uma Sessão - Facetas que Mudam Vidas
Especialista em harmonização do sorriso com 15+ anos de experiência. Resultados naturais e duradouros que você sempre sonhou.
Avaliações: 5 estrelas
★★★★★
Nossos Tratamentos Especializados
Transforme Seu Sorriso com as Técnicas Mais Avançadas da Odontologia Estética


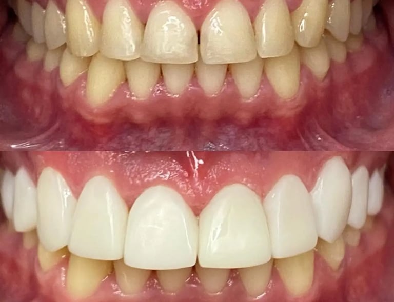
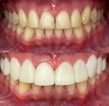
Facetas em Resina
Revolucione seu sorriso com nossa técnica exclusiva de facetas em resina. Resultados naturais, duradouros e com investimento que cabe no seu orçamento.
Ortodontia Estética
Corrija o alinhamento dos seus dentes de forma discreta e confortável, mantendo sua confiança durante todo o tratamento.
Clareamento Dental
Recupere a cor natural dos seus dentes ou alcance o tom de branco que sempre desejou, com técnicas seguras e resultados comprovados.
Conheça a Dra. Daniela Carvalho
Especialista em facetas, clareamento e ortodontia com mais de 15 anos de experiência.


150+
1.000+
Transformação de Sorrisos
Resultados Naturais
Sou a Dra. Daniela Carvalho, especialista em odontologia estética com mais de 15 anos dedicados à arte de transformar sorrisos. Formada em Odontologia com especialização em Dentística Restauradora, minha paixão é devolver a confiança e autoestima através de tratamentos personalizados.
Acredito que cada sorriso é único e merece cuidado especial. Por isso, utilizo as técnicas mais modernas em facetas de resina, clareamento dental e ortodontia estética para criar resultados naturais e duradouros.
Minha missão é simples: fazer você sorrir sem medo novamente.
Resultados












Resultados transformadores em estética dental de luxo.
Entre em Contato
Estamos prontos para atender você! Preencha o formulário e agende sua avaliação na nossa clínica de estética dental.
Contato
(16) 99636-3040
contato@drdanielacarvalho.com
